Aplicación para la Clasificación de Fracturas
AOOTA Fracture Classification es una herramienta diseñada para la clasificación de fracturas y luxaciones, siguiendo la normativa AO/OTA deEsta aplicación gratuita, dirigida a profesionales de la salud, ofrece un recurso tanto para principiantes como para expertos en el campo de la traumatología. Permite aprender a aplicar el sistema de clasificación, utilizar una terminología común y proporcionar códigos estándar para fines de investigación. La aplicación ha sido actualizada para reflejar los cambios recientes en la clasificación, facilitando así su uso en la práctica clínica.
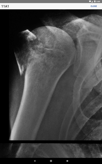
Entre sus características destacan la información sobre investigaciones radiológicas necesarias para clasificar fracturas específicas, así como la identificación de errores comunes en las imágenes. Incluye ilustraciones de fracturas actualizadas y radiografías de alta calidad que se pueden ampliar. Además, los códigos de fractura se pueden guardar en una lista de "Favoritos" para un acceso personalizado, y una nueva función de búsqueda permite acceder rápidamente a cualquier código de fractura, mejorando la eficiencia en la evaluación de resultados de lesiones.





